4030 Hohensee Drive
Lincoln, NE 68516

gentledental.garciaandpollock@gmail.com

Smile Gallery

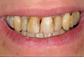
The image shows a person with a wide smile displaying yellowed teeth and a mouth with visible signs of decay, which suggests dental neglect or poor oral hygiene.

Before

The image shows a close-up of a person s smile with white teeth and a full set of dentures, capturing the upper lip and part of the face.

After

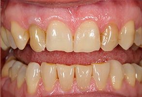
The image shows a close-up view of a person s teeth with visible staining and decay, indicating poor oral hygiene or dental health issues.

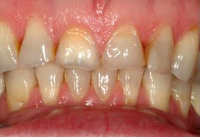
Before

The image shows a close-up view of a person s teeth with visible staining and discoloration, particularly around the gum line, which suggests poor oral hygiene or dental issues.

After

The image shows a close-up view of a person s smiling face with teeth, featuring a dimple on the left cheek. The person has a beard and mustache, and there are visible stains on their teeth.

Before

The image shows a close-up of a person s smiling mouth with white teeth, set against a neutral background.

After

The image displays a close-up view of a person s teeth with an emphasis on a large gap between the front teeth, which are prominently featured in the foreground.

Before

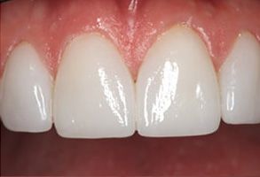
The image shows a close-up view of a person s teeth with a focus on a smile, highlighting the bright white color of the teeth and the gumline.

After

The image shows a close-up view of a person s teeth with significant discoloration and staining, likely due to poor oral hygiene or the use of tobacco products.

Before

The image displays a close-up view of a person s teeth with a focus on dental hygiene, showcasing cleanliness and the process of teeth whitening.

After

An image showing a close-up view of a person s teeth with a focus on a large gap between two front teeth, indicating dental health concerns.

Before

A close-up of a person s teeth with a focus on their yellowed appearance.

After

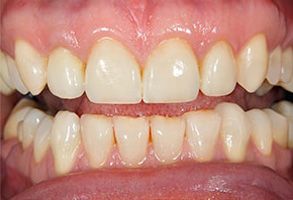
The image shows a close-up view of a person s mouth with teeth that appear discolored or yellowed, possibly indicating poor oral hygiene or dental issues.

Before

The image shows a close-up of a person s teeth, with a focus on the front row of upper teeth, which appear to be crooked and possibly in need of orthodontic treatment.

After